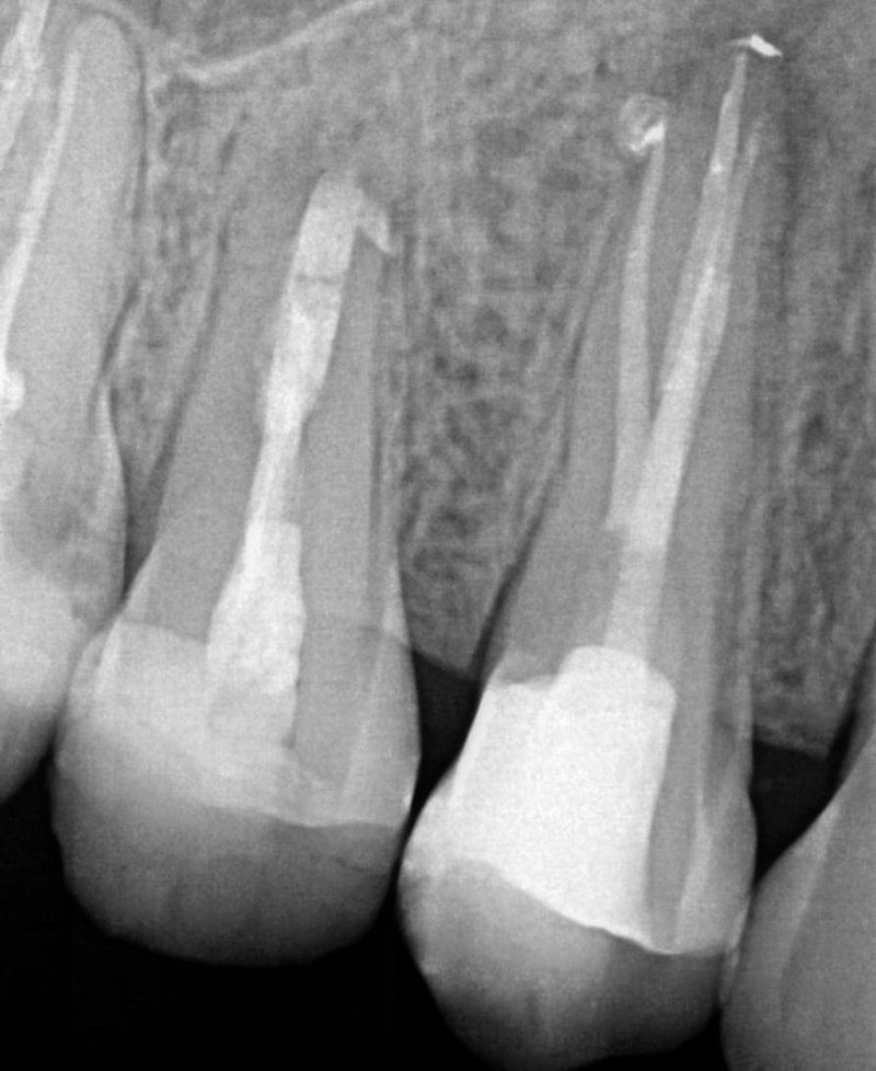
Ausgangslage Zahn 14: Separiertes Feilenfragment und Medikation in situ


2023-07-13T15:25:42+02:00

2023-07-13T15:25:42+02:00
Dr. Johannes Stemmann



Bei einer klinischen Nachkontrolle zwei Wochen postoperativ im Rahmen der Weiterversorgung gab die Patientin an, keinerlei Beschwerden oder Schmerzen nach der Wurzelkanalfüllung gehabt zu haben. Die technisch einwandfrei verlaufende Behandlung darf auf eine baldige knöcherne Ausheilung hoffen lassen. Eine erste radiologische Nachkontrolle ist in sechs Monaten geplant. Für eine langfristig gute Prognose wird der Zahn zeitnah mit Zahnersatz aus dem hauseigenen Labor versorgt. Die Patientin bedauerte im Nachgespräch, für die Wurzelbehandlung nicht von Anfang an eine Praxis mit entsprechender technischer Ausstattung und spezialisierten Zahnärzte aufgesucht zu haben. Sie zeigte sich sehr erleichtert, dass der Zahn nicht extrahiert werden musste. Im Anschluss an die beschriebene Behandlung wurden zwei weitere Revisionen an Zahn 15 und 16 im AllDent Zahnzentrum Bremen durchgeführt.
