Portrait Zahnarzt AllDent Leipzig

Teamwork:
Vom Notdienst zur Gesamt-sanierung

Der Auslöser für den Zahnarztbesuch waren akute Schmerzen. Aus dem Befund wurde klar: Eine umfangreiche Sanierung war dringend erforderlich. Doch am Ende stand eine zufriedene, schmerzfreie Patientin mit festen Zähnen.

Ein Fallbericht von Daniel Liss – Zahnarzt im AllDent Zahnzentrum Leipzig

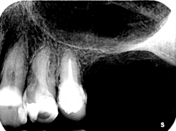
Röntgen Krone distal

25: apikal aufgehellt, Krone distal undicht, WF reicht nicht bis ins untere Drittel.

26 und 27 nicht erhaltungswürdig, vertikaler Knocheneinbruch.

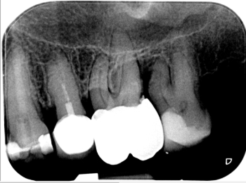
Röntgen Revision 25

Zustand nach Revision 25 und Extraktion 26 und 27.

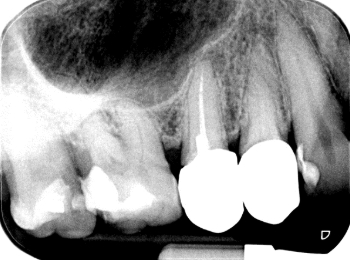
Röntgen Ausheilung

Zustand nach Ausheilung 25 apikal nach Revision und Regio 26 und 27 nach Extraktion.

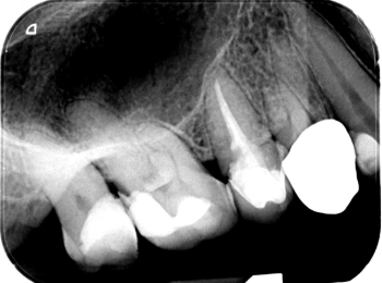
Röntgen Krone insuffizient

15: Krone insuffizient, apikale Aufhellung.

Röntgen Wuzelkanal

15: Zustand nach Revision und Behandlung des zweiten Wurzelkanals.

Röntgen Langzeitprovisorium

15: Zustand mit Langzeitprovisorium nach Ausheilung nach Revision.

Röntgen OPG Erstbefund

OPG zum Erstbefund.

OPG Zustand nach Vorbehandlung und Freilegung der Implantate.

Fallbericht Zahnmodell

Nach der Vorstellung im Notdienst wurde klar, dass die Patientin eine umfangreiche Sanierung mit Füllungen, Brücke, Kronen und Implantaten benötigte.

Portrait Daniel Liss AllDent

Befund und Therapie

Portrait Daniel Liss AllDent

Befund

Drei Tage nach der Notdienstbehandlung fand die Erstuntersuchung bei Oberärztin Dr. Mahzad Arhami statt. Diese stellte kariöse Zähne und insuffiziente Füllungen an 17, 16, 13, 11, 21, 22, 23, 24, 48 fest. Der Zahn 47 fehlte mit Lückenschluss.  Die Zähne 26, 27 und 36 wurden durch fortgeschrittenen Knochenabbau als nicht erhaltungswürdig eingestuft. Erschwerend kam dazu, dass 34 bis 36 durch eine Brücke versorgt waren. 

15 und 25 waren bereits endodontisch behandelt und wiesen insuffiziente Kronen sowie behandlungsbedürftige Wurzelkanalfüllungen auf. Der PSI 3-2-4 und 4-2-3 zeigte überdies eine behandlungsnotwendige Parodontitis an.

Therapieplanung

Aufgrund des umfangreichen Befunds waren mehrere Fachbereiche involviert: Konservierende Zahnheilkunde, Parodontologie, Endodontie, Chirurgie und Prothetik. Die Koordination und weitere Behandlung lag federführend bei Daniel Liss. Damit diente er außerdem als zentraler Ansprechpartner für die Patientin. 

Die Wurzelkanalbehandlung und die chirurgische Therapie übernahmen die spezialisierten Kollegen im Haus. Für den Zahnersatz wurden nach erfolgreicher Vorbehandlung Implantate und Einzelkronen als Therapieziel gesetzt. Der Zahnersatz wurde im hauseigenen Labor gefertigt.

Therapie

Eine Woche nach der Erstvorstellung wurde zunächst eine Professionelle Zahnreinigung veranlasst, um die Keimbelastung zu reduzieren. Interessanterweise gab die Patientin trotz bestehender Parodontitis-Diagnose an, noch nie eine derartige Zahnreinigung erhalten zu haben. Wegen erneuter Schmerzen wurden die Zähne 26 und 27 entfernt. Die Extraktion verlief komplikationslos im Ganzen mit guter Wundheilung danach.

Darauf folgten Termine für die Füllungstherapie sowie die Wurzelkanalbehandlungen. Die Revisionen von 15 und 25 führte der Endodontologe Samir Khaled unter dem OP-Mikroskop durch. Dabei zeigte sich an 15 ein bisher unbehandelter, zweiter Wurzelkanal. Da die Kronen keine Randkaries aufwiesen, wurde für beide Zähne im hauseigenen Labor ein Langzeitprovisorium jeweils als Einzelkrone angefertigt. 

Therapie

Die kariösen Zähne und die insuffizienten Füllungen an 17, 16, 13, 11, 21, 22, 23, 24, und 48 wurden mit dem Nanofüllkomposit Tetric Prime ästhetisch und funktional in Mehrfarb- und Mehrschichttechnik versorgt. Danach wurde der PA-Status erhoben. Die Zähne 17, 16, 24, 34 und 48 wiesen eine Sondierungstiefe von 4 bis 5 Millimetern auf. 

Als Parodontitistherapie wurde eine geschlossene Kürettage mit Laserdekontamination (Diodenlaser ORA-LASER D-LUX) geplant und durchgeführt. Zur Befundevaluation nach zwölf Wochen zeigte sich, dass die Patientin eine sehr gute Mundhygiene aufwies. Alle Sondierungstiefen lagen bei 2 bis 3 Millimetern, nur an Zahn 48 mesial bei 4 Millimetern mit leichter Blutung. Der Behandler bestärkte die Patientin in ihrer Zahnpflege. Zusätzlich wurde erneut die Reinigung schwer zu erreichender Zahnzwischenräume mit Interdentalbürstchen praktisch geübt.

Therapie

Außerdem wurde eine provisorische Prothese geplant. Da 34 bis 36 durch eine Brücke versorgt, 36 aber nicht erhaltungswürdig war, musste das Brückenglied 35 entfernt werden. Es wurde eine Interimsversorgung empfohlen, um im zweiten und dritten Quadranten einen Stützzonenverlust zu vermeiden. Somit wurde die Brücke distal 34 getrennt und 36 entfernt. Die Patientin erhielt eine Interimsprothese für die linke Seite im Oberkiefer, wo die Zähne 26 und 27 entfernt worden waren; zusätzlich eine im Unterkiefer, da der Zahn 36 und das Brückenglied 35 entfernt werden müssen.

Von hier an übernahm Oralchirurgin Dr. Irene Göllnitz die chirurgische Planung. Das DVT zeigte, dass die Revisionen der Wurzelkanalbehandlungen 15 und 25 erfolgreich verlaufen waren, aber auch, dass für das Setzen von Implantaten Knochenaufbau notwendig war. Dieser wurde in Regio 26 mit einem einzeitigen Sinuslift, in Regio 36 mit lateraler Augmentation geplant. Die Operation fand im Januar 2023 fast ein Jahr nach der Erstvorstellung statt.

Therapie

Regio 26 war aufgrund des geringeren Knochenangebots ein externer Sinuslift nötig. Knochenmaterial (Straumann maxresorb, Granula 0,8-1,5 mm, 2,0 cc) wurde eingebracht und ein Straumann Implantat (BLT RC 4,1 mm, Länge 10 mm, 35 Ncm) inseriert. Der Sinuslift wurde mit einer Jason Membran (20 x 30 mm) abgedeckt. 

Regio 36 wurde lateral mit Eigenknochen und Straumann maxresorb (Granula 0,8-1,5 mm, 2,0 cc) augmentiert und ebenfalls mit einer Jason Membran (15 x 20 mm) abgedeckt. Hier wurde das Implantat Straumann BLT 4,8 mm (Länge 10 mm) verwendet; in Regio 35 war es Straumann BLT 3,3 mm (Länge 12 mm).

Die Wundheilung in allen Fällen verlief gut. Nach sechs Monaten Einheilzeit wurden die Implantate freigelegt. Die prothetische Versorgung übernahm Zahnarzt Daniel Liss. 15, 25 und 34 erhielten neue Kronen, die Implantate 26, 35 und 36 erhielten verschraubte Einzelkronen.

Fallbeispiel

Fazit

Petra S.

Petra S.

Zustand nach Sanierung

Bei einer derartig umfangreichen Sanierung hat sich die Zusammenarbeit im Team mit unterschiedlichen Spezialisten für Allgemeine Zahnheilkunde, Endodontie, Chirurgie und Prothetik bewährt. Kurze Wege und unkomplizierter kollegialer Austausch waren dabei sehr hilfreich, ebenso wie eine hervorragende Ausstattung: OP-Mikroskop für die Endo, Laser für die Parodontitis-Therapie und ein voll digitalisiertes Meisterlabor im Haus. 

Ein fester Ansprechpartner für die Patientin erleichterte die Kommunikation im Rahmen der erheblichen, interdisziplinären Vorbehandlung. Die Patientin zeigte auch nach Abschluss der Therapie eine hohe Motivation, den Zustand schmerzfreier, fester und gesunder Zähne zu erhalten. 

Petra S.

Petra S.

Zustand nach Sanierung