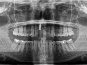
OPG nach Zahnunfall. 11 ist frakturiert.

Nach Notdienst-Behandlung: Ästhetisches Ergebnis dank umfangreicher Vorbehandlung und Planung – von Daniel Liss, AllDent Zahnzentrum Leipzig




In diesem Fall hätte eine Brückenversorgung in regio 11 viel gesunde Zahnhartsubstanz gekostet. Daher fiel die Entscheidung der Patientin auf eine Implantatkrone. Neben des wiederholten Bruchs der Interimsprothese aufgrund des Tiefbisses stellte die provisorische Versorgung aufgrund der Lage im Frontzahnbereich hohe Anforderungen. Die Patientin verfügt überdies über eine hohe Lachlinie, bei der die Gingiva komplett sichtbar ist. Um den ästhetischen Ansprüchen gerecht zu werden, war eine gründliche Planung und längerer Vorlauf erforderlich. Das Ziel war nicht nur, ein ästhetisch befriedigendes Ergebnis zu liefern, sondern dieses auch langfristig zu erhalten. Deswegen dauerte die Vorbehandlung mit Socket Preservation, PA-Behandlung, Augmentation, Implantation und Gingivaformung durch die provisorische Krone insgesamt neun Monate.
Die Patientin zeigte sich mit dem Ergebnis jedenfalls hochzufrieden und lobte besonders die interdisziplinäre Zusammenarbeit zwischen behandelndem Zahnarzt Daniel Liss, Oberärztin Dr. Yun-Chie Roh, Chirurgin Dr. Irene Göllnitz und dem Zahntechniker Philip Janz.